CT
- HOME
- CT
アクセオス Axeos
特徴
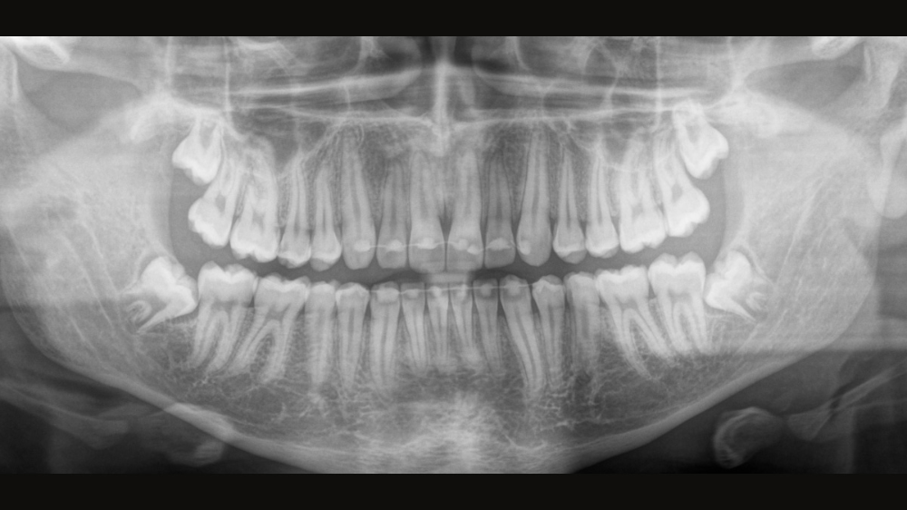
Axeos ―
幅広い治療を提供する診療所向け大FOV、および高画質の2D/3Dシステムです。歯科医師などの関係者と協力して開発されたAxeosは、デンツプライシロナのあらゆるレントゲン装置の中で最も多くの機能を提供することができます。この歯科用レントゲン装置は、優れた画質とユーザーが用途に応じて選択できる3D撮影範囲の機能に加え、患者さんの快適性を高めるための工夫がなされています。Axeosは、パフォーマンスと快適さの品質を提供するだけでなく、一体型のバイトブロックを格納できるキャビネット、そして患者さんの緊張を和らげるためのアンビエントライトなど、デザイン面での受賞歴があります。
信頼性の高い診断と放射線量のバランス
レントゲン画像をうまく撮影しようとすると、矛盾が常に生じます。最大限の画質を達成するために必要なことは何でも行いたいと考える一方で、患者さんのためには、放射線量は合理的に可能な限り低く抑える必要があるからです。デンツプライシロナでは、安全に配慮し、かつ倫理的な面からも診療をサポートしながら優れた画質を保証する製品を提供することに注力しています。製品開発の際は、国際的に認められたALARAの原則「as low as reasonable achievable(合理的に達成可能な範囲でできる限り低く)」に従います。
インテリジェントロードーズ
専用フィルターで最適化された低線量モードにより、大幅に低減された線量で骨などの密な構造の画像診断が可能になります。そのため、インテリジェントロードーズ機能は多くの臨床現場において有用で効率的な機能となります。歯列矯正でもインプラントでも、弊社のソリューションを使用することで、それぞれのケースでの最適な設定が可能です。
- 適応症に基づく低線量でのCT撮影は、さまざまな臨床状況に適しています。
- 専用フィルターは、従来の低線量アプローチと異なります。弊社のインテリジェントロードーズ機能は、電流を下げるだけでなく専用の銅フィルターも採用しています。これにより、低線量にも関わらず、骨などの密な構造を高画質で確認が可能です。
- CT撮影において低線量モードを使用すると、被ばく線量を最小限に抑え、パノラマ撮影の際と同等の線量でCT画像が得られます。
オートフォーカス
手動手順なしで優れた画像を実現
優れたパノラマ画像を取得するには、適切なフォーカスが重要です。オートフォーカス機能を使用すると、可能な限り高い鮮明さでフォーカスした画像を、自動的に得ることができます。弊社の画像診断装置は、1サイクルで数千の個別画像を撮影し、顎が最適な位置にある領域を自動的に特定することができる機能を有します。手動で追加の手順を行わなくても、鮮明な画像が最終的な画像として表示されます。
